Tractaments

Tots els nostres tractaments estan meticulosament dissenyats per satisfer les necessitats específiques de cada un dels nostres pacients.

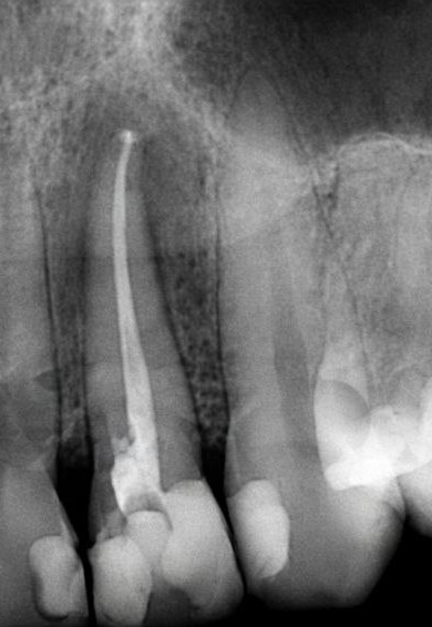
Endodòncia:

L’endodòncia, també coneguda com a tractament de conductes o desvitalització, és el tractament dental de les lesions que afecten la polpa (nervi), ja sigui parcialment o totalment, a causa de càries profundes, fractures, traumatismes o infeccions no tractades.

Aquestes lesions pulpars poden causar dolor agut, sensibilitat al fred o a la calor, dolor en mastegar o canvis en el color de les dents. En alguns casos, poden ser asimptomàtiques, però si hi ha necrosi pulpar (mort del teixit pulpar), poden derivar en inflamació i abscessos (flemó).

L’objectiu de l’endodòncia és alleujar el dolor eliminant la infecció i conservant la dent afectada, evitant-ne l’extracció.

En què consisteix l’endodòncia?
El procediment es realitza en diverses etapes:

  1. Diagnòstic: Es fan radiografies per avaluar el dany a la polpa i el teixit circumdant.
  2. Anestèsia: S’aplica anestèsia local per evitar dolor durant el tractament.
  3. Obertura i eliminació de la polpa: S’accedeix a la cambra pulpar i s’extreu el teixit infectat de l’interior de la dent.
  4. Neteja i desinfecció: Es netegen i desinfecten els conductes radiculars per eliminar bacteris.
  5. Farçit i segellat: Els conductes es farceixen amb un material biocompatible (gutaperxa) per evitar reinfeccions.
  6. Restauració final: Es col·loca un empastament o una corona per retornar la funció i l’estètica de la dent.

Una endodòncia ben realitzada pot prolongar la vida de la dent durant molts anys, permetent al pacient mantenir el seu somriure i una correcta funció dental.

photo_2026-03-08_22-47-25 (2)

Els nostres tractaments

Branca de l’odontologia que se centra a millorar l’aparença de les dents, les genives i el somriure, mantenint al mateix temps una funció i salut òptimes

L’ortodòncia és l’especialitat de l’odontologia que s’encarrega de prevenir, diagnosticar i corregir les malposicions dentals i òssies

A Estudi Dental Tremp, oferim una àmplia gamma de solucions de pròtesi dental per a aquells pacients que han perdut peces dentals per diferents motius.

Són afeccions de l’articulació que connecta la mandíbula amb el crani, causant dolor, limitació de moviment i disfunció mandibular

Els implants dentals són elements que simulen les arrels dentals. S’insereixen en els ossos maxil·lar o mandibular per a la seva posterior rehabilitació amb corones o pròtesis.

És l’especialitat de l’odontologia que es dedica al tractament de les malalties i defectes de les peces dentàries, dels maxil·lars i dels teixits tous adjacents que requereixen una intervenció quirúrgica.

És la branca de l’odontologia que s’encarrega de l’estudi, prevenció, diagnòstic i tractament de les malalties que afecten els teixits que envolten i suporten les dents, com les genives

Es tracta d’un conjunt de procediments quirúrgics que es realitzen per tractar malalties avançades de les genives i del suport ossi de les dents

L’odontologia conservadora és l’art de la preservació dental, centrant-se en la prevenció, el diagnòstic i el tractament de les càries i altres malalties dentals

caCatalà
Desplaça cap amunt